症例紹介|せいせきHALO歯科・小児矯正歯科|ホワイトニング・小児矯正・マウスピース矯正に対応
〒206-0002
東京都多摩市一ノ宮4丁目1-21みずほビル102
TEL.
042-316-9190
電話
WEB予約
MENU
ホーム
Home
医師紹介
Doctor
クリニック紹介
Clinic
クリニック紹介
アクセス
診療案内
Medical
むし歯治療
歯周病治療
小児歯科
おとなの矯正
小児矯正
ホワイトスポット治療
審美歯科(セラミック治療)
MFTについて
小児矯正に関するお悩み・心配
ホワイトニングのお悩み・クリーニングについて
よくあるお悩み
Concern
症状のお悩み
歯が痛い・しみる
歯茎が腫れている・出血する
口の中がネバつく
歯がグラグラする
口臭が気になる
歯が欠けた・折れた
治療した歯が痛む
歯茎が下がってきた
噛むと痛い・違和感がある
子どもが歯を痛がっている
子どもの歯並びが気になる
見た目のお悩み
歯並びが気になる
前歯のがたつき・すきっ歯が気になる
出っ歯・受け口を治したい
歯が黄ばんでいる
銀歯が目立つ
前歯の形や大きさが気になる
詰め物・被せ物の色がおかしい
入れ歯の見た目が気になる
歯を失った部分を治したい
子どもの歯並びが心配
受診をお考えの方へ
First
受診をお考えの方へ
料金表
症例紹介
お子様のお口周りで、こんなお悩みありませんか?
お知らせ
News
ブログ
Blog
WEB予約
Instagram
診療時間
月
火
水
木
金
土
日
10:00-13:00
/
●
●
●
●
●
/
14:00-18:30
/
●
●
●
●
●
/
休診日:日・月・祝(祝日振替無し)
完全予約制
受付終了時間は診療時間45分前(午前…12:15まで/午後…17:45まで)
WEB予約
電話
WEB予約
アクセス
症例紹介
症例紹介|せいせきHALO歯科・小児矯正歯科|ホワイトニング・小児矯正・マウスピース矯正に対応
ホーム
症例紹介
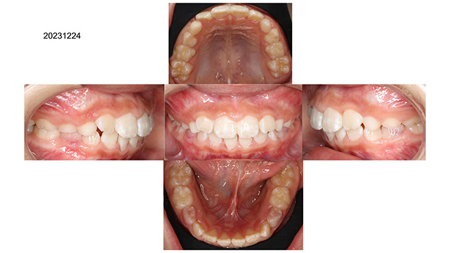
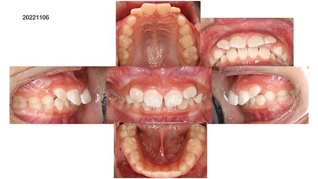
歯並びがガタガタの症例
症状
準備中
年齢・性別
準備中
治療期間
準備中
矯正装置
準備中
矯正治療費
準備中
主訴
準備中
マウスピース矯正・インビザラインの症例
準備中
小児矯正の症例
準備中
TOP